Sùi Mào Gà

Cách chữa Sùi mào gà ở hậu môn hiệu quả, an toàn | Đa khoa Gia Phước

Sùi mào gà là một trong những bệnh xã hội phổ biến, do virus HPV lây nhiễm chủ yếu qua con đường tình dục không an toàn. Trong đó hậu môn là một trong những ví trí bệnh sùi mào gà xuất hiện nhiều. Vậy, cách chữa sùi mào gà ở hậu môn hiệu quả, an toàn như thế nào? Tất cả sẽ được nêu rõ trong bài viết sau đây:

1. Cách chữa Sùi mào gà ở mậu môn hiệu quả, an toàn

Bệnh sùi mào gà có tốc độ lây lan rất nhanh. Ngoài đường tình dục không an toàn thì bệnh còn có thể lây lan qua đường tiếp xúc trực tiếp vết thương hở của người bệnh, sử dụng chung vật dụng cá nhân. Thời gian ủ của bệnh từ khoảng 2 – 9 tháng tùy tình trạng bệnh khác nhau. Sùi mào gà có thể phát triển trên các bộ phận cơ thể, nơi tiếp xúc với nốt sùi, trong đó có hậu môn. Bài viết sau đây sẽ cung cấp cách chữa sùi mào gà ở hậu môn hiệu quả an toàn.

Chữa trị SMG hậu môn

a. Nguyên nhân bị sùi mào gà ở hậu môn:

  • Quan hệ tình dục không an toàn, không sử dụng các biện pháp bảo vệ
  • Quan hệ tình dục bằng hậu môn
  • Quan hệ với người đã mắc bệnh sùi mào gà
  • Sức đề kháng kém do bệnh tật
  • Quan hệ tình dục sớm và quan hệ với nhiều người.

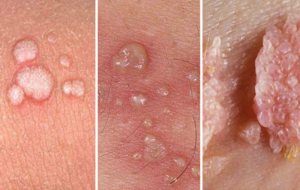
b. Các biểu hiện của sùi mào gà ở hậu môn:

  • Những mụn nhỏ mọc xung quanh hậu môn
  • Các u nhú mụn sùi ban đầu còn rất nhỏ, khó quan sát được bằng mắt thường
  • Lâu dần các mụn sùi này kết hợp thành từng cụm có hình giống mào gà hoặc súp lơ
  • Khi các nốt sùi kết hợp từng mảng gây ngứa ngáy, khó chịu vùng hậu môn
  • Nếu không cẩn thân, các nốt sùi vỡ ra gây chảy máu, chảy mủ. Đau rát và nguy cơ nhiễm trùng rất cao.

Dấu hiệu thường gặp của SMG

Bệnh sùi mào gà nếu không phát hiện sớm và điều trị kịp thời. Hoặc điều trị không đúng cách có thể dẫn đến loạn sản. Ảnh hưởng tiêu cực đến khả năng sinh sản, thậm chí đe dọa đến tính mạng của người bệnh. Do đó, khi mắc bệnh hoặc nghi ngờ bị bệnh sùi mào gà ở hậu môn, người bệnh cần nhanh chóng điều trị tích cực bằng phương pháp phù hợp. Tránh các biến chứng, đồng thời tiêu diệt tận gốc, ngăn ngừa tái phát sùi mào gà. Mang đến sự an toàn và đảm bảo sức khỏe tốt cho người bệnh.

2. Phương pháp điều trị triệt để Sùi mào gà ở hậu môn

Tùy theo tình trạng của mỗi cá nhân mà sau khi tiến hành xét nghiệm và chẩn đoán, các bác sĩ sẽ đưa ra phương pháp điều trị phù hợp nhất:

  • Sử dụng thuốc:

Với trường hợp mắc sùi mào gà ở giai đoạn đầu, mức độ bệnh nhẹ.

  • Điều trị bằng laser:

Tia laser sẽ được sử dụng để tác động trực tiếp vào mảng sùi tại vùng hậu môn. Tuy nhiên, hoạt động này cần được thực hiện bởi các chuyên gia. Vì nếu sử dụng cường độ tia quá mạnh sẽ có thể dẫn đến hoại tử và ảnh hưởng các mô xung quanh.

  • Thủ thuật đốt điện:

Các bác sĩ sẽ thực hiện bằng cách sát khuẩn vùng hậu môn. Sau đó tiến hành gây tê tại chỗ và dùng máy đốt điện cao tần tiêu diệt các mảng sùi mào gà ở hậu môn. Phương pháp này có thể gây đau cho người bệnh, thời gian phục hồi chậm, bệnh dễ tái phát

  • Phương pháp ALA – PDT:

Đây là phương pháp tân tiến, hiệu quả nhất trong công tác điều trị sùi mào gà. Phương pháp này hoạt động bằng cách sử dụng ánh sáng huỳnh quang kích hoạt phản ứng quang động dưới sự chiếu xạ của nguốn sáng. Tạo ra oxy hoạt lực tác động đến các tổ chức gây bệnh, làm các mảng sùi rụng đi. Đồng thời ngăn chặn những tổn thương giúp bệnh mau chóng hồi phục.

Bên cạnh đó, phương pháp ALA – PDT được đánh giá cao với nhiều ưu điểm vượt trội như là: thời gian thực hiện nhanh chóng chỉ từ 15 – 20 phút, an toàn – hiệu quả, điều trị không đau, không để lại sẹo xấu. Hạn chế tối đa khả năng tái phát bệnh, không làm ảnh hưởng đến các mô xung quanh. Thời gian hồi phục nhanh chóng, chi phí phù hợp với mọi đối tượng người bệnh.

điều trị bệnh lậu an toàn nhất tại Đa Khoa Gia Phước
Điều trị bệnh sùi mào gà an toàn nhất tại Đa Khoa Gia Phước

3. Địa chỉ điều trị Sùi mào gà chất lượng – uy tín tại Cần Thơ

Hiện nay, Phòng Khám Đa Khoa Gia Phước, địa chỉ Số 57 Hùng Vương, P.Thới Bình, Q.Ninh Kiều, Tp.Cần Thơ, Hotline: 0966-332-352. Đã và đang áp dụng phương pháp ALA – PDT  vào trong công tác điều trị sùi mào gà ở hậu môn và mang lại kết quả tốt nhất cho người bệnh. Ngoài ra, khi đến với phòng khám chúng tôi người bệnh sẽ được thăm khám tận tình bởi đội nhân viên y tế được đào tạo chuyên nghiệp, phục vụ và chăm sóc người bệnh chu đáo.

  • Phòng khám với đội ngũ y bác sĩ chuyên gia bệnh xã hội hàng đầu, dày dặn kinh nghiệm. Công tác tại các bệnh viện lớn, chữa sùi mào gà trực tiếp thực hiện mọi quy trình điều trị. Do đó, người bệnh có thể hoàn toàn yên tâm và tin tưởng điều trị sùi mào gà ở hậu môn tại đa khoa Gia Phước.
  • Hệ thống cơ sở vật chất – thiết bị y tế tại đây vô cùng hiện đại. Được nhập khẩu từ các nước tiên tiến như: Mỹ, Pháp, Đức… giúp cho việc thăm khám và điều trị chính xác, đạt hiệu quả cao.
  • Đặc biệt là chi phí điều trị cho bệnh sùi mào gà vô cùng hợp lý, phù hợp với mọi đối tượng người bệnh. Các khoản thu đều được công khai minh bạch theo quy định của Bộ Y Tế.
  • Không chỉ vậy mà phòng khám chúng tôi còn áp dụng các chương trình ưu đãi hỗ trợ cho học sinh, sinh viên. Gia đình khó khăn, đối tượng thuộc diện chính sách, người già neo đơn…
  • Ngoài ra, còn miễn phí tiền đăng ký khám bệnh cho các bệnh nhân có đăng ký thông tin đặt hẹn trước.
  • Phòng khám có hỗ trợ chỗ ở cho những bệnh nhân ở xa đến.